In a health crisis, decisions about treatment and containment must be made quickly. It’s crucial those decisions be based on research evidence, but fast and easy access is not always available.
In a health crisis, decisions about treatment and containment must be made quickly. It’s crucial those decisions be based on research evidence, but fast and easy access is not always available.
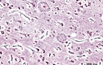
New review finds that over 150 papers strongly support the view that herpes simplex plays a role in Alzheimer’s disease.
Could this relatively unknown virus become a household name in the Americas in the year to come?
Manchester Royal Infirmary has shut its A&E unit after doctors diagnosed two patients as possibly suffering from Middle Eastern Respiratory Syndrome – Coronavirus Infection (MERS-CoV) outbreak.
In what could be the opening scene to a science fiction movie, French scientists have thawed and reactivated a 30,000 year old giant virus from the Siberian permafrost.